Make a Payment
banner

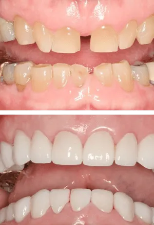
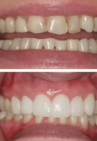
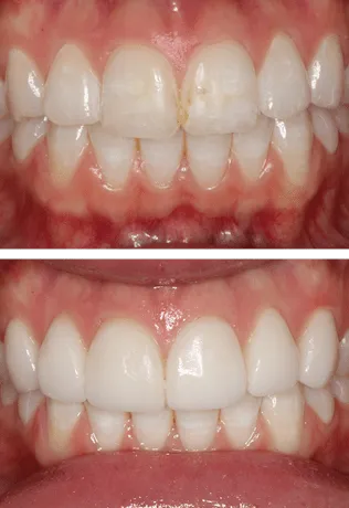
Our Grin Gallery

See the real work from our cosmetic dentists in Simpsonville, Woodruff, Greenville, Boiling Springs, Easley, Anderson, and Woodruff, SC.

Real Patients, Real Smiles

Welcome to the Grin Gallery! Our dentists at ProGrin Dental offer several cosmetic dentistry services for Greer, Boiling Springs, Greenville, Woodruff, Simpsonville, Riverside, Easley, Anderson, and the surrounding areas. Scroll down to see actual patients receive their real smiles and learn about our cosmetic dentistry services, including porcelain veneers, SureSmile Clear Alignerssmile design, and teeth whitening.

stars

"Excellent staff. Very accommodating and friendly. They fixed my ugly mug without judgment. Definitely would recommend."

Via Google (Woodruff Location)

"I absolutely LOVE this place. The staff here are amazing. From the minute I walk in the door I am greeted with smiles. The team is exceptional!"

Via Facebook

"This has been the most positive dental experience I have had in years! Friendly, professional knowledgeable staff. Excellent care! "

Via Google (Woodruff Location)

"Great people! I love the way the hygienist cleans my teeth. She is so gentle and kind. Dr. Ayers and his staff are always nice to me."

Via Google (Greenville Location)

"I've been going to Dr. Ayers for over 26 years. He and his staff are the best of the best! I highly recommend ProGrin. #BestDentistEver"

Via Facebook

"A great dental practice in the heart of the upstate. This has been the best experience I've had going to the dentist."

Via Google (Greenville Location)

"Wonderful first experience! The staff are friendly, professional, & all around great. Awesome amenities & clean environment."

Via Google (Boiling Springs Location)

"I have never had a more pleasant experience in my life. From the moment I walked in the door, I felt welcome and happy. The staff is excellent!"

Via Google (Boiling Springs Location)

Ready to Love the New You?